Follow Us

Dental Braces

Dental Braces SmileArt Kenya

Personal Details

Dental Braces

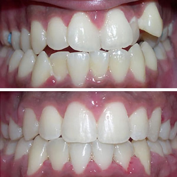
Common Orthodontic Problems Requiring Braces

Crowding The most common orthodontic problem occurs when teeth have insufficient space to align properly. Crowded teeth overlap, twist, or are pushed out of alignment. Causes include: jaw too small for tooth size, premature loss of baby teeth, extra teeth, or genetic factors. Crowded teeth are difficult to clean properly, increasing cavity and gum disease risk.

Spacing Gaps between teeth occur due to: teeth too small for jaw size, missing teeth, abnormal frenum (tissue between front teeth), tongue thrusting habits, or thumb sucking. While small gaps may be purely aesthetic concerns, larger spaces trap food and affect biting efficiency.

Overbite (Deep Bite) Upper front teeth overlap lower front teeth excessively (more than 2-3mm). Severe overbites can cause: lower teeth biting into upper palate tissue, excessive wear on front teeth, jaw pain and TMJ problems, and speech difficulties. Causes include genetics, childhood thumb sucking, or tongue thrusting.

Underbite Lower teeth protrude beyond upper teeth when biting. This occurs when the lower jaw is too large, upper jaw is too small, or combination of both. Underbites cause: difficulty chewing and biting food, accelerated tooth wear, speech problems, and facial aesthetic concerns. Often requires early intervention for best results.

Crossbite One or more upper teeth bite inside lower teeth rather than outside. Crossbites affect front teeth (anterior crossbite) or back teeth (posterior crossbite). Untreated crossbites cause: uneven jaw growth in children, asymmetrical facial development, tooth wear and chipping, gum recession, and jaw pain.

Open Bite Upper and lower front teeth don’t touch when back teeth are together, leaving an opening. Causes include: prolonged thumb sucking or pacifier use, tongue thrusting, jaw growth discrepancies, or genetic factors. Open bites make biting food difficult and may affect speech.

Overjet (Protruding Front Teeth) Upper front teeth stick out excessively beyond lower teeth horizontally. Often caused by genetics, thumb sucking, or lower jaw positioned too far back. Protruding teeth are more vulnerable to injury and may cause lip closure difficulty.

Why Orthodontic Treatment Matters

Beyond cosmetic improvement, orthodontic treatment provides crucial health benefits:

Improved Oral Hygiene Straight teeth are much easier to brush and floss effectively, reducing cavity and gum disease risk significantly.

Better Chewing Function Properly aligned teeth distribute bite forces evenly, improving chewing efficiency and digestion.

Reduced Tooth Wear Correct alignment prevents abnormal wear patterns that weaken teeth over time.

TMJ Disorder Prevention Proper bite alignment reduces jaw joint stress, preventing pain, clicking, and dysfunction.

Speech Improvement Correct tooth and jaw position enhance speech clarity and pronunciation.

Injury Prevention Protruding teeth are vulnerable to chipping or knocking out during falls or sports.

Enhanced Self-Confidence Straight teeth improve appearance and boost self-esteem, positively affecting social interactions and professional opportunities.

Braces Options Available:

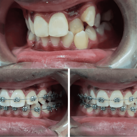
Traditional Metal Braces

  • Most effective and affordable orthodontic option
  • Suitable for all types of alignment problems, even complex cases
  • Durable stainless steel brackets and wires
  • Smaller, more comfortable brackets than previous generations
  • Colored elastic bands for personalization (popular with children and teens)
  • Typically fastest treatment option

Ceramic Braces

  • Tooth-colored or clear brackets blend with natural teeth
  • Less noticeable than metal braces while equally effective
  • Ideal for adults and image-conscious teens
  • Same mechanics as metal braces with aesthetic advantage
  • Slightly larger and more fragile than metal brackets
  • Popular for professional environments

Clear Aligners

  • Virtually invisible orthodontic correction
  • Series of custom-made, removable clear plastic trays
  • No brackets or wires for maximum comfort
  • Remove for eating, brushing, and special occasions
  • Fewer office visits required
  • Best for mild to moderate alignment issues
  • Requires discipline to wear 22 hours daily

Lingual Braces

  • Brackets placed on back (tongue-side) of teeth
  • Completely hidden from view when smiling
  • Custom-made for each tooth
  • More expensive due to customization and technique complexity
  • May affect speech initially during adjustment period
  • Excellent option for professionals requiring invisible treatment

Treatment Features:

  • Comprehensive orthodontic examination with digital X-rays and photos
  • Customized treatment plans based on your specific needs and goals
  • Regular monitoring appointments (typically every 4-8 weeks)
  • Adjustment visits to progress treatment
  • Retainers after treatment to maintain results

Treatment Benefits:

  • Improved bite function and chewing efficiency
  • Enhanced facial aesthetics and smile confidence
  • Better oral hygiene and reduced risk of decay and gum disease
  • Prevention of jaw problems and TMJ disorders
  • Reduced abnormal tooth wear
  • Long-lasting, permanent results
  • Improved speech in some cases
  • Reduced injury risk for protruding teeth

Got Questions About Dentis Services?

Book An Appointment