Follow Us

Dental Cleaning

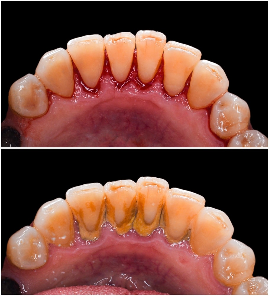
SmileArt Deep Cleaning

Personal Details

Dental Cleaning

Understanding the cleaning process helps alleviate any anxiety about your appointment. Our thorough cleaning involves several important steps:

1. Comprehensive Oral Examination Before cleaning begins, our dental hygienist examines your entire mouth, checking for signs of gingivitis, gum disease, oral cancer, and other concerns. We note areas requiring special attention and alert the dentist to any issues needing further evaluation.

2. Plaque and Tartar Removal (Scaling) Using specialized instruments including ultrasonic scalers and hand instruments, we carefully remove plaque and tartar deposits from tooth surfaces, along the gumline, and between teeth. Ultrasonic scalers use gentle vibrations and water spray to break up tartar efficiently. The amount of buildup determines how long this step takes.

3. Professional Teeth Polishing After tartar removal, we polish teeth using a professional-grade polishing paste and rotating rubber cup. Polishing removes surface stains and creates smooth tooth surfaces that resist plaque accumulation. Your teeth will feel incredibly clean and smooth afterward.

4. Fluoride Treatment We apply professional fluoride treatment to strengthen tooth enamel and provide additional cavity protection. Fluoride remineralizes weakened enamel and makes teeth more resistant to acid attacks from bacteria.

5. Personalized Oral Hygiene Education We provide customized instruction on proper brushing and flossing techniques, recommend products suited to your specific needs, and discuss dietary factors affecting your oral health.

Benefits of Regular Professional Cleanings:

  • Prevents cavities and tooth decay
  • Reduces risk of gum disease and tooth loss
  • Freshens breath by removing odor-causing bacteria
  • Brightens smile by removing surface stains
  • Allows early detection of dental problems when treatment is simpler and less expensive
  • May reduce risk of heart disease, stroke, and diabetes complications
  • Helps maintain overall health and wellbeing

    Our Cleaning Services Include:

    • Comprehensive oral health examination and screening
    • Thorough plaque and tartar removal using advanced ultrasonic technology
    • Professional teeth polishing for a smooth, clean surface
    • Fluoride treatments to strengthen enamel and prevent decay
    • Gum disease screening and early detection
    • Oral cancer examination
    • Bite assessment and TMJ evaluation
    • Personalized oral hygiene education and home care recommendations

Got Questions About Dentis Services?

Book An Appointment