Follow Us

Pediatric Dental Care

Dental Pedriatic Treatment Kenya

Personal Details

Pediatric Dental Care

The Importance of Early Dental Care

Children’s oral health lays the foundation for a lifetime of healthy teeth and positive attitudes toward dental care. Many parents wonder when to start dental care, what to expect, and how to prevent childhood cavities. Understanding pediatric dentistry helps ensure your child develops strong, healthy teeth and good oral habits.

Early Childhood Tooth Development

Baby Teeth Timeline:

  • First tooth eruption: 6-10 months (usually lower front teeth)
  • Full set of 20 primary teeth: By age 3
  • Baby teeth begin falling out: Age 6-7
  • Last baby teeth lost: Age 12-13

Why Baby Teeth Matter: Many parents mistakenly believe baby teeth aren’t important since they’ll fall out. However, primary teeth serve crucial functions:

  • Hold space for permanent teeth developing beneath gums
  • Guide permanent teeth into proper positions
  • Enable proper speech development and pronunciation
  • Allow adequate nutrition through proper chewing
  • Contribute to normal facial and jaw development
  • Affect self-esteem and social interactions

Premature baby tooth loss from decay or injury can cause: permanent teeth to erupt crooked or crowded, speech problems, difficulty eating nutritious foods, and psychological impacts from missing front teeth.

Common Pediatric Dental Problems

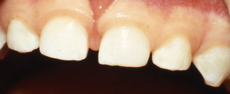
Early Childhood Caries (Baby Bottle Tooth Decay) A severe form of tooth decay affecting infants and toddlers, typically involving upper front teeth. Caused by: prolonged exposure to sugary liquids (milk, formula, juice), falling asleep with bottles, frequent sippy cup use throughout the day, and inadequate oral hygiene. Prevention: Never put baby to bed with a bottle (except water), transition from bottle to cup by age 12-15 months, wipe baby’s gums with clean cloth after feeding, and begin brushing as soon as first tooth emerges.

Cavities Children are particularly cavity-prone due to: thin enamel on baby teeth (cavities progress faster), snacking habits and sugary drink consumption, developing motor skills making thorough brushing difficult, and less awareness of oral hygiene importance. Statistics show cavities affect 20% of children ages 5-11 and 50% of children ages 12-15.

Thumb Sucking and Pacifier Use Normal self-soothing behaviors that usually stop naturally by age 2-4. Prolonged use beyond age 4-5 can cause: open bite (front teeth don’t meet), narrow upper jaw, protruding upper front teeth, speech problems, and future orthodontic needs. Intervention strategies: positive reinforcement for not sucking, bandaging thumb at night, bitter-tasting nail products (for older children), and addressing underlying anxiety or stress.

Dental Injuries Active children frequently experience dental trauma from falls, sports, or accidents. Common injuries include: chipped or broken teeth, knocked-out teeth (avulsed), displaced teeth pushed sideways, and lip and tongue injuries. Emergency response: For knocked-out permanent teeth, rinse gently and try reinserting in socket or store in milk—see dentist within 30 minutes. For knocked-out baby teeth, don’t reinsert—see dentist promptly. For broken teeth, save fragments and see dentist immediately.

Teething Discomfort As baby teeth emerge through gums (typically 6-24 months), babies experience: irritability and fussiness, drooling, desire to chew on objects, swollen, tender gums, and mild temperature elevation. Relief measures: give cold teething rings or washcloths to chew, gently massage gums with clean finger, offer cool pureed foods, and use infant pain reliever if recommended by pediatrician.

Got Questions About Dentis Services?

Book An Appointment