Dentures are removable appliances that replace missing teeth and surrounding tissues, restoring both function and aesthetics. While dental implants are ideal for individual tooth replacement, dentures offer practical, affordable solutions for replacing multiple or all teeth.
Types of Tooth Loss Requiring Dentures
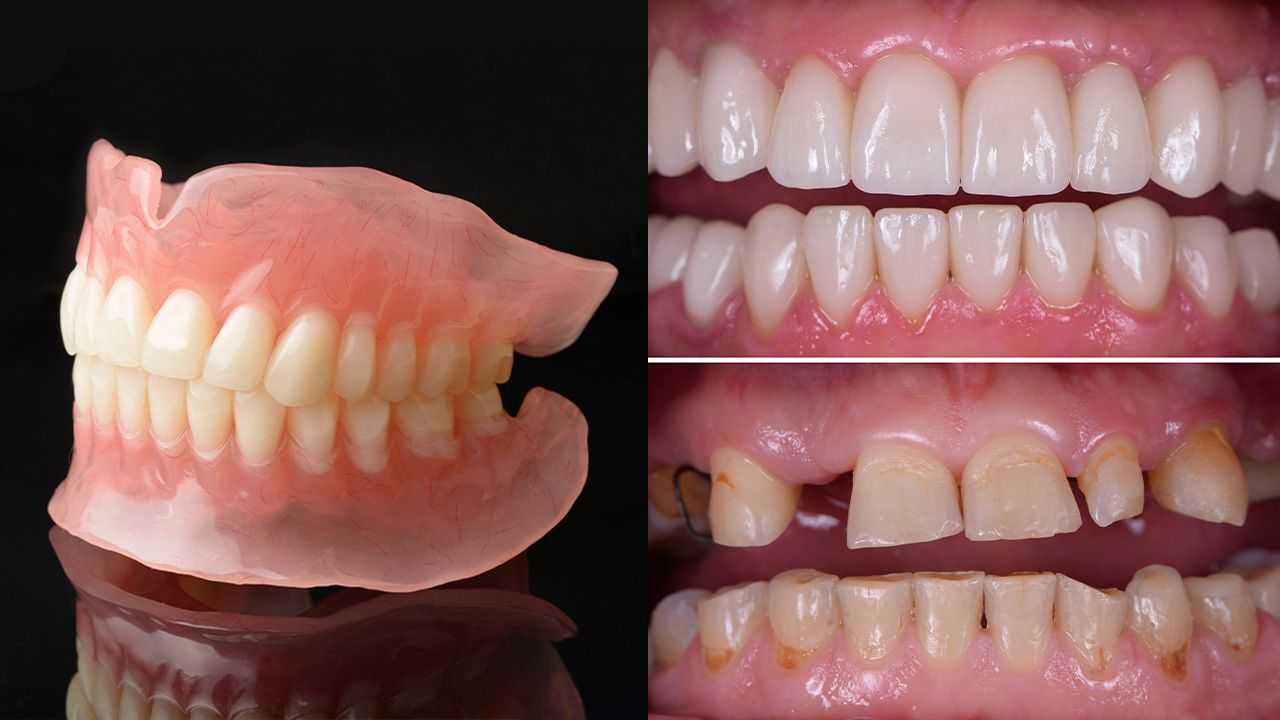
Complete Tooth Loss (Edentulism) Some people lose all teeth in one or both arches due to: severe gum disease destroying all tooth support, extensive tooth decay affecting multiple teeth beyond repair, or congenital conditions. Complete dentures replace entire upper and/or lower arches.
Multiple Missing Teeth Losing several teeth in different locations makes individual implants or bridges impractical or unaffordable. Partial dentures efficiently replace multiple missing teeth with a single appliance.
How Dentures Work
Complete Dentures Replace all teeth in an arch (upper and/or lower). Upper dentures use suction against the palate for retention. Lower dentures rest on gums and rely on tongue and cheek positioning for stability—typically less stable than uppers. Denture adhesives can improve retention.
Partial Dentures Replace some teeth while preserving remaining natural teeth. Consist of replacement teeth attached to a plastic base matching gum color, with metal or plastic frameworks and clasps that attach to natural teeth for stability.
Immediate Dentures Fabricated before tooth extraction and placed immediately after teeth removal. Allow you to have teeth during healing but require multiple adjustments as gums heal and shrink. Usually replaced with conventional dentures after 6-8 months once tissues have stabilized.
Implant-Supported Dentures (Overdentures) Dentures that snap onto or attach to dental implants (typically 2-6 implants per arch). Provide superior stability and retention compared to conventional dentures while being more affordable than full-arch implant restorations. Best of both worlds—denture affordability with implant stability.
Consequences of Not Replacing Missing Teeth
Bone Loss Without tooth roots stimulating jawbone, bone tissue gradually deteriorates. Denture wearers lose approximately 0.5mm of bone height annually. Progressive bone loss: changes facial appearance, creates sunken, aged look, makes denture retention increasingly difficult, and limits future treatment options.
Nutritional Impact Inability to chew properly forces dietary restrictions, potentially causing: avoidance of healthy fruits, vegetables, and proteins, digestive problems from inadequate chewing, and malnutrition in severe cases. Dentures restore approximately 25-30% of natural chewing ability; implant-supported dentures restore 70-80%.
Social and Psychological Impact Missing teeth significantly affect: self-confidence and self-esteem, social interactions and relationships, professional opportunities, and overall quality of life. Dentures restore confidence and allow normal social engagement.
Denture Options Available:
- Complete dentures for full upper or lower arch replacement
- Partial dentures (removable) to replace multiple missing teeth
- Immediate dentures placed the same day as tooth extractions
- Implant-supported dentures (overdentures) for superior stability
- Flexible partial dentures for enhanced comfort and aesthetics
- Precision attachments for secure, natural appearance without visible metal clasps
- Denture relines and repairs to extend denture lifespan
Benefits of Our Dentures:
- Natural appearance with customized tooth shape, size, and color matching your features
- Improved chewing ability restoring 25-50% of natural bite force (more with implant support)
- Restored facial support preventing sunken, aged appearance
- Enhanced speech clarity and pronunciation
- Boosted confidence and quality of life
- Affordable tooth replacement option accessible to most budgets
- Removable for easy cleaning and maintenance
- Can be supported by implants for enhanced stability